Ronflements, sommeil agité, troubles de la respiration nocturne, somnolence... Ces signes peuvent révéler une apnée du sommeil. Êtes-vous concerné ?
Blog
La pose d’implants est une intervention courante qui permet de retrouver un réel confort de vie et offre une solution esthétique optimale.
Sceller les sillons consiste à couler une résine fluide et fluorée dans les sillons des premières et deuxièmes molaires permanentes des enfants afin de les obturer.
Le Syndrome d’Apnées du Sommeil affecte entre 5 et 15% de la population adulte, selon l’âge. La recherche clinique montre désormais le lien étroit entre le Syndrome d’Apnées du Sommeil et d’autres pathologies chroniques graves.
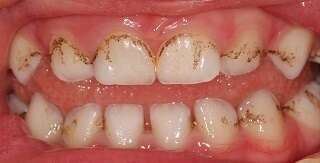
Souvent impressionnantes, les taches noires sur les dents des bébés ou des enfants ne sont pas rares. Sans gravité aucune, leur caractère inesthétique pousse souvent les parents à les faire enlever chez le dentiste. Explications.











