Corriger le vieillissement péri-buccal grâce à l’acide hyaluronique
Articles similaires
Le comblement de sinus par abord crestal
Vidéos 3D
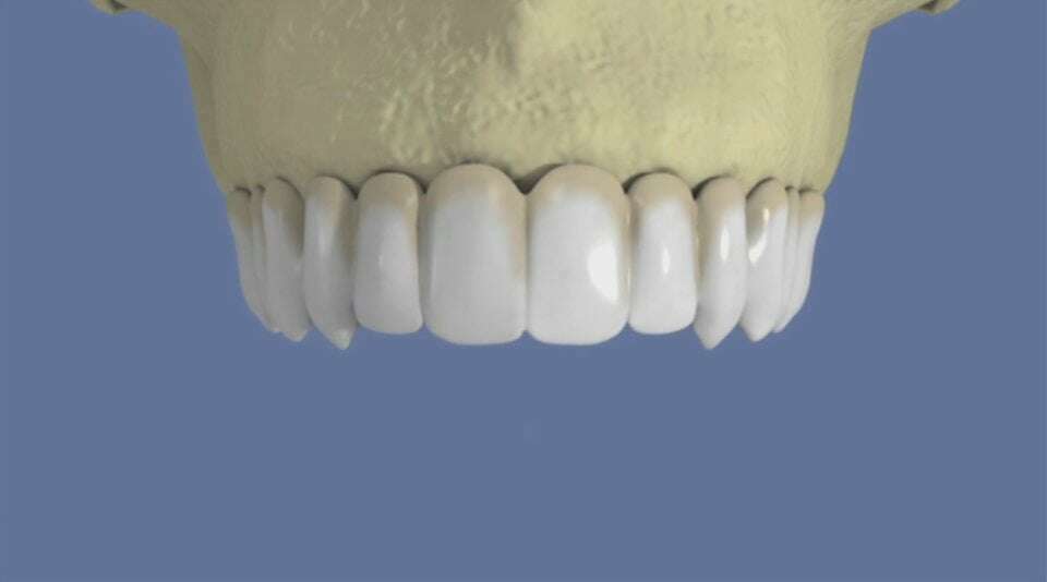
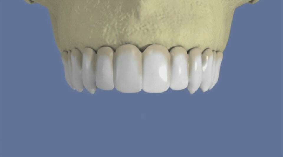
Facettes
Vidéos 3D
Maxillaire : all-on-4
Vidéos 3D
- À la une (3)
- Informations pratiques (8)
- L'équipement du cabinet dentaire (3)
- L'orthodontie (9)
- Les choix esthétiques (10)
- Les dents chez l'adulte (6)
- Les dents de l’enfance à l’adolescence (15)
- Les dents et la santé (21)
- Les gencives (23)
- Les implants (22)
- Les pathologies bucco-dentaires (29)
- Les prothèses (32)
- Omnipratique (182)
- Prendre soin des dents (16)